中医儿科学
  • 课程首页
  • 课程概况
  • 教学团队
    • · 教学团队介绍
  • 教学资源
    • · 教学大纲
    • · 授课计划
    • · 教案
    • · 教学课件PPT
    • · 习题及答案
    • · 视听教材
  • 教学视频
  • 儿童亚健康体质与调理
    • · 儿童亚健康九种体质
    • · 儿童亚健康九种体质调理
  • 健儿乐APP
  • 小儿推拿
    • · 小儿推拿视频
    • · 小儿推拿GIF
  • 项目申报表
  • 教学评价
  • 实践教学

所在位置: 首页  > 实践教学

实践教学

发布时间:2019-03-26 发布人:宋媛媛

紫绀1.jpg

紫绀4.jpg

紫绀3.png

紫绀2.jpg

紫绀5.jpg

枕秃1.jpg

枕秃2.jpg

眼睑水肿1.jpg

眼睑水肿2.jpg

眼睑水肿3.jpg

眼睑水肿4.jpg

脱肛1.jpg

脱肛2.jpg

脱肛4.jpg

脱肛3.jpg

疝气1.jpg

疝气2.jpg

疝气3.jpg

疝气4.png

尿布皮炎1.jpg

尿布皮炎2.jpg

麻疹1.jpg

麻疹2.jpg

麻疹3.jpg

麻疹4.jpg

麻疹粘膜斑.jpg

黄疸1.jpg

黄疸2.jpg

黄疸3.jpg

黄疸5.jpg

黄疸4.jpg

黄疸6.jpg

黄疸7.jpg

黄疸8.jpg

黄疸9.jpg

鹅口疮1.jpg

鹅口疮2.jpg

鹅口疮3.jpg

鹅口疮4.jpg

鹅口疮6.jpg

鹅口疮5.jpg

鹅口疮7.jpg

大便1.jpg

大便3.jpg

大便2.jpg

大便4.jpg

大便5.jpg

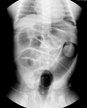
肠套叠1.jpg

肠套叠2.jpg

肠套叠4.jpg

肠套叠3.png

扁桃体肿大1.jpg

扁桃体肿大2.jpg

扁桃体肿大3.jpg

扁桃体肿大4.jpg

扁桃体肿大5.jpg

扁桃体肿大6.jpg

白斑.jpg

杨梅舌2.jpg

杨梅舌.jpg

脱水.jpg

头围过大.jpg

水痘.jpg

贫血.jpg

疳积.jpg

四缝1.jpg

四缝2.jpg

上一篇:没有了
下一篇:没有了
通讯地址:安徽省芜湖市乌霞山西路18号